哪些情況需要牙周翻瓣術

What need periodontal flap surgery

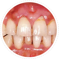
深牙周袋、牙槽骨缺損、根分叉病變等問題,使牙齒咀嚼力受影響,加重腸胃負擔,任其不管會引發牙齒松動甚至是牙齒掉落,醫生建議選擇合適的方法進行治療才是關鍵!

牙周翻瓣術,還妳口腔健康

periodontal flap surgery, also your oral health

博愛曙光口腔牙周綜合治療科室,針對嚴重牙周病患者采用翻瓣治療,利用微創器械,結合局麻注射,在可視操作下去除菌斑、牙石與病變組織,最終實現牙周袋變淺的目的。

牙周翻瓣術流程

periodontal flap technique process

市醫保定點連鎖 看牙省心超值

City health insurance fixed point chain, dental care value

作爲市醫保定點單位、深圳老字號醫院,博愛曙光口腔始終以顧客爲中心,優化服務,嚴抓醫療質量,恪守醫療本質,給顧客省心超值的看牙體驗!
  • 博愛曙光醫保定點

  • 深圳老字號醫院

即刻預約看牙 · 恢複健康不等待

牙周博士領銜醫療團

精于牙周病學理論 | 臨床診治經驗豐富