
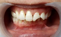
补牙,是常见的牙齿修复术,许多人的牙齿出现龋坏、缺损等情况,较好的方式就是补牙。由于每个人的口腔状况不同,医生需要根据患者的具体牙位、龋齿的洞型、牙齿的缺失等情况来选择相对应的治疗方法来进行修复……【详细】
深圳博愛曙光口腔專家表示:採取補牙術是為了阻止齲齒繼續惡化。所謂補牙就是採用用人造物質修補牙體缺損的方法,用於修補的物質叫充填材料。凡因齲齒、楔狀缺損、外傷等造成牙體組織缺損者都需要修補,以恢復其外形和功能。







全面口腔检查,并根据龋齿的数量、疗位、龋病的病变程度制定最佳的补牙修复方案。
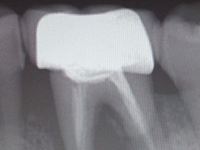
除净病变组织,保护牙髓和健康牙齿组织,建立良好的固位形和抗形,以免造成继发龋。
早龋,一次消毒即可进行补牙,中龋或深龋,则需m三至五次,如果涉及到牙神经则需根管治疗。
材料填充,即时雕刻外形,除去超过咬合面过高的部分,以防刺激牙龈引起炎症。